Prothetik / Kiefergelenk
Dieses Gebiet umfasst das Eingliedern von Kronen, Brücken, Teil- und Vollprothesen wie auch das Ersetzen verloren gegangener Zähne mittels Implantaten.
Ist ein Zahndefekt so gross, dass er mittels konservierender Zahnmedizin (Füllungen und Inlays) nicht mehr behoben werden kann, oder ist ein Zahn gänzlich verloren gegangen, so gelangt die
rekonstruktive Zahnmedizin oder Prothetik zur Anwendung.
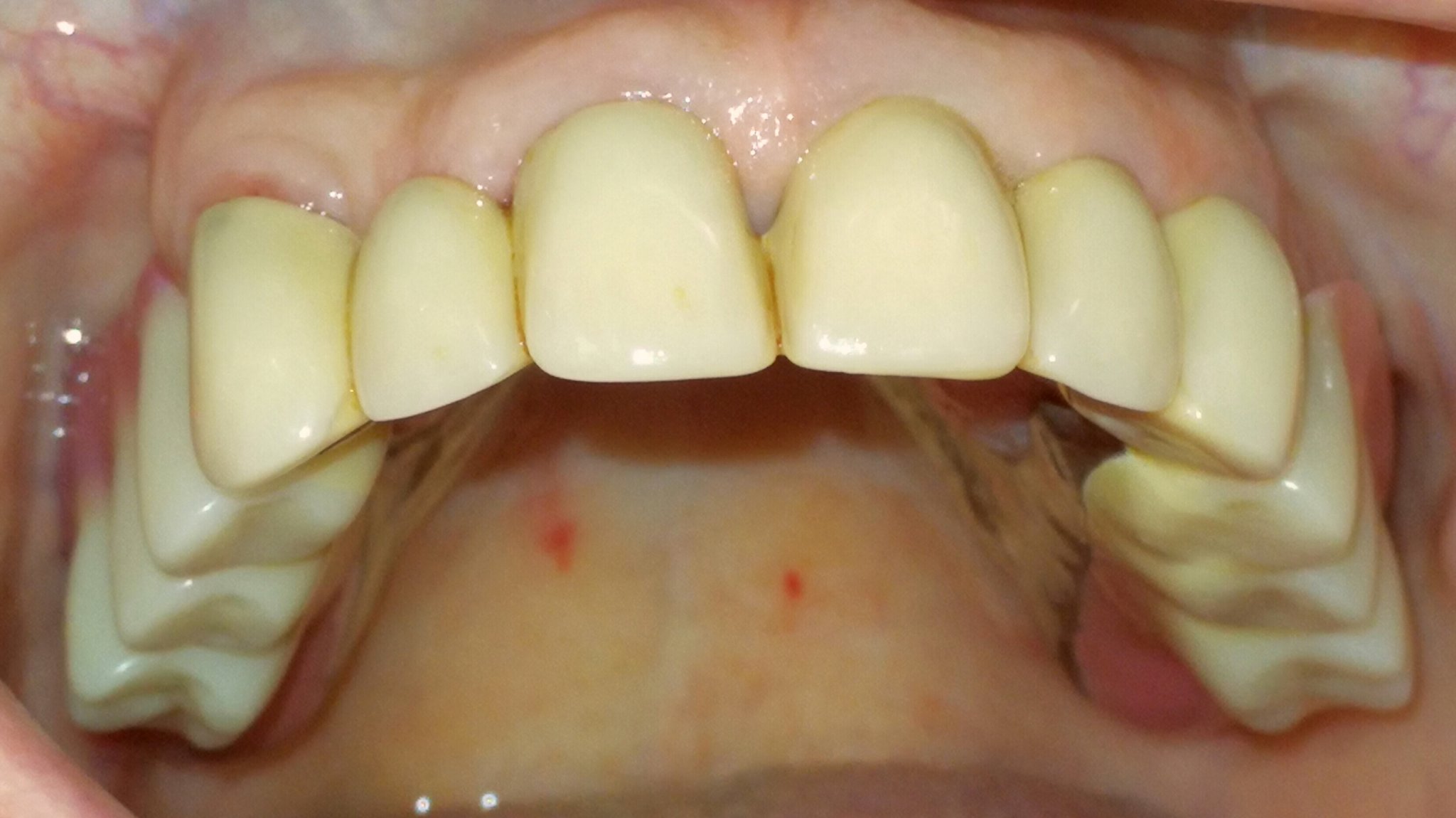
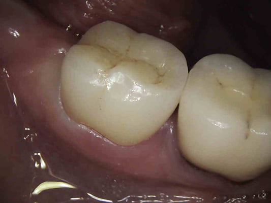
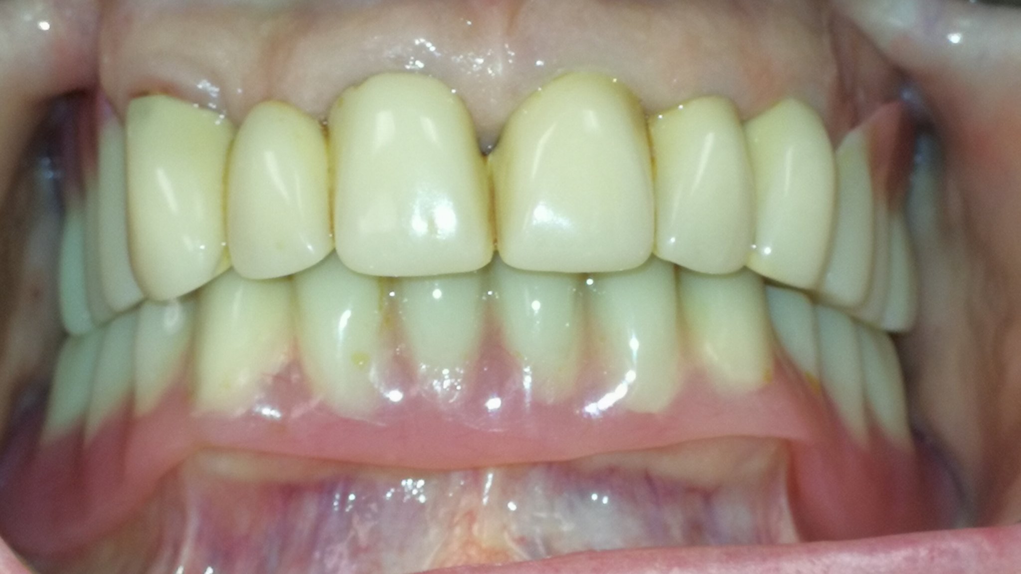
Kronen
Durch die Überkronung eines Zahnes kann ihm die durch die Hartsubstanzzerstörung verlorengegangene Stabilität zurückgegeben werden. Die Restzahnsubstanz wird gefasst und
gestärkt.
Wir verwenden fast ausschliesslich vollkeramische Kronen. Diese werden meist - wie die In/Onlays - von einer Fräsmaschine (CAD; computer-aided design) aus einem
Keramikblock gefräst. Nach dem Fräsen wird die Krone mit einem Kompositzement mit dem Zahnstumpf verklebt (zementiert).
Brücken
Bei Brücken müssen die der Lücke benachbarten Zähne beschliffen werden. Die Lücke wird durch ein Zwischenglied ersetzt, welches mit den benachbarten Kronen zusammenhängt.
Vielmals sind die der Lücke benachbarten Zähne jedoch in gutem Zustand und man möchte diese Zähne wenn möglich nicht beschleifen. Aus diesem Grund werden in der modernen Zahnmedizin vermehrt
Implantate bevorzugt, um einen oder mehrere verlorengegangene Zähne zu ersetzen. So müssen die Nachbarzähne nicht beschliffen werden. Trotzdem stellt auch heute die Brückentherapie noch eine weit
verbreitete Therapie dar, so zum Beispiel, wenn für ein Implantat nicht genügend Knochen vorhanden ist oder die Lücke begrenzenden Nachbarzähne auch überkront werden sollten.
Als Brückenpfeiler kommen sowohl Zähne wie auch Implantate in Frage.

Implantate
Dank der festsitzenden künstlichen Zahnwurzel, dem enossalen Implantat, lassen sich sowohl einzelne Zähne ersetzen als auch grössere Zahnlücken schliessen.
Verloren gegangene Zähne konnten vor einigen Jahren ausschliesslich durch Brücken (festsitzender Zahnersatz) oder durch Prothesen (abnehmbarer Zahnersatz) ersetzt werden.
Durch verschiedene Ursachen kann es vorkommen, dass herausnehmbare prothetische Arbeiten trotz korrekter Herstellung nicht den erwünschten Halt aufweisen.
Auch in diesen Fällen können Implantate oft als Verankerung dienen, sei es als Basis für Druckknöpfe oder Steggeschiebe.


Teil- und Vollprothesen
Herausnehmbarer Zahnersatz, bei dem die fehlenden Hartgewebe (Zähne und Knochen) und Weichgewebe (Zahnfleisch) durch Kunststoff ersetzt werden.
Sofern noch eigene Zähne vorhanden sind und lediglich Zahnlücken überbrückt werden müssen, spricht man von einer Teilprothese. Beispiele dafür sind Hybrid-, Modellguss- und
Klammerprothesen.
Sind keine Zähne mehr vorhanden, so versorgt man den Patienten mit einer
Vollprothese.
Michiganschiene (Knirscherschiene) / Kiefergelenksprobleme / Schnarchschiene
Patienten welche Knirschen oder Pressen (oft als Stressabbau in der
Nacht) schaden damit nicht nur ihren Zähnen, sondern können häufig auch starke (Kau-) muskel- und Kiefergelenksschmerzen haben, welche bis hin zu Kopf- und Nackenschmerzen aber auch Kieferklemme
oder -sperre führen können. Mittels Knirschschiene (Michiganschiene) und teilweise Physiotherapie kann diesen Patienten geholfen werden.

Zahnärzte am Grabenring
Dr. med. dent. Pascal P. Schönenberger
Grabenring 1
CH-4123 Allschwil
Tel: +41 (0)61 486 91 91
Telefonzeiten:
08.00 - 12.00 Uhr
13.30 - 17.00 Uhr
| Mo - Do | 08:00 - 12:00 Uhr |
| 13:15 - 18:15 Uhr | |
| Fr - Sa* | 08.00 - 12.00 Uhr |
| 13.15 - 17.15 Uhr |
*diverse Samstage geöffnet;
siehe Google Öffnungszeiten
Do 13:00 -19:00 Uhr