Prävention

Unter Prophylaxe bzw. Prävention versteht man folgende vorbeugende Massnahmen, die der Krankheitsverhinderung dienen:

  • Kariesprävention beinhaltet die Ernährungsberatung wie auch das Vermitteln optimaler Putztechniken und somit die Sicherstellung einer guten Mundhygiene.
  • Die Fluoridierung mittels Mundspüllösungen und Gels spielt eine wichtige Rolle, um präventiv gegen Karies vorzubeugen.
  • Auch die Fissurenversiegelung, bei welcher anatomisch gegebene Zahnrillen mit erhöhter Kariesaktivität versiegelt werden, stellt eine wichtige präventive Massnahme dar.

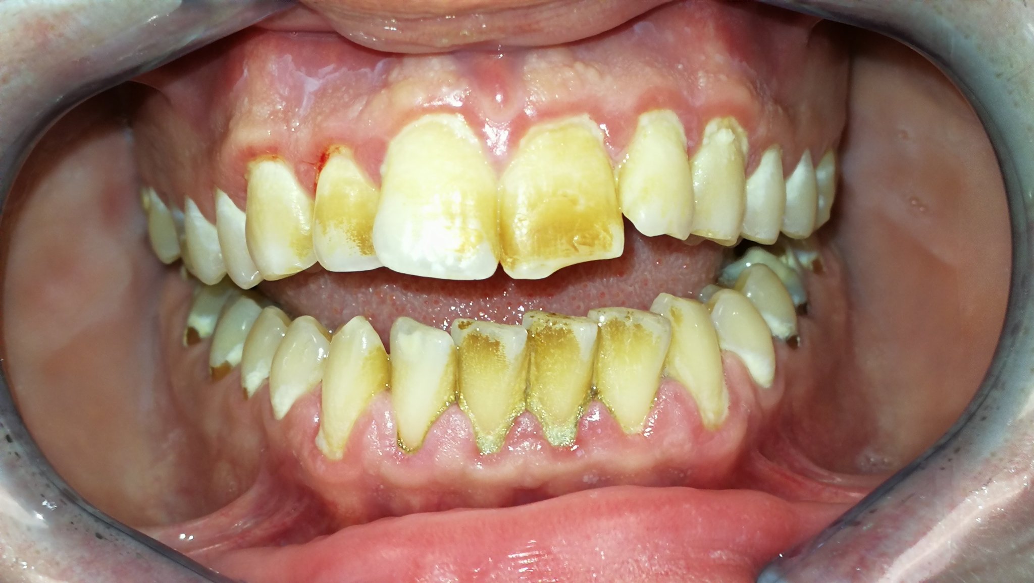
Folgendes Beispiel zeigt, wie wichtig die Ernährung, Mundhygiene und regelmässige Fluoridierung ist. Der erst 20 jährige Patient hat in den letzten 4 Jahren täglich 4-5 Energydrinks konsumiert. Letzteres führte neben der schlechte Mundhygiene und fehlender Fluoridierung zur massiven Entkalkung der Zähne und ausgeprägter Kariesbildung. Bei richtiger Ernährung und guter Pflege halten diese Zähne sonst ein Leben lang!