Konservierende Zahnheilkunde
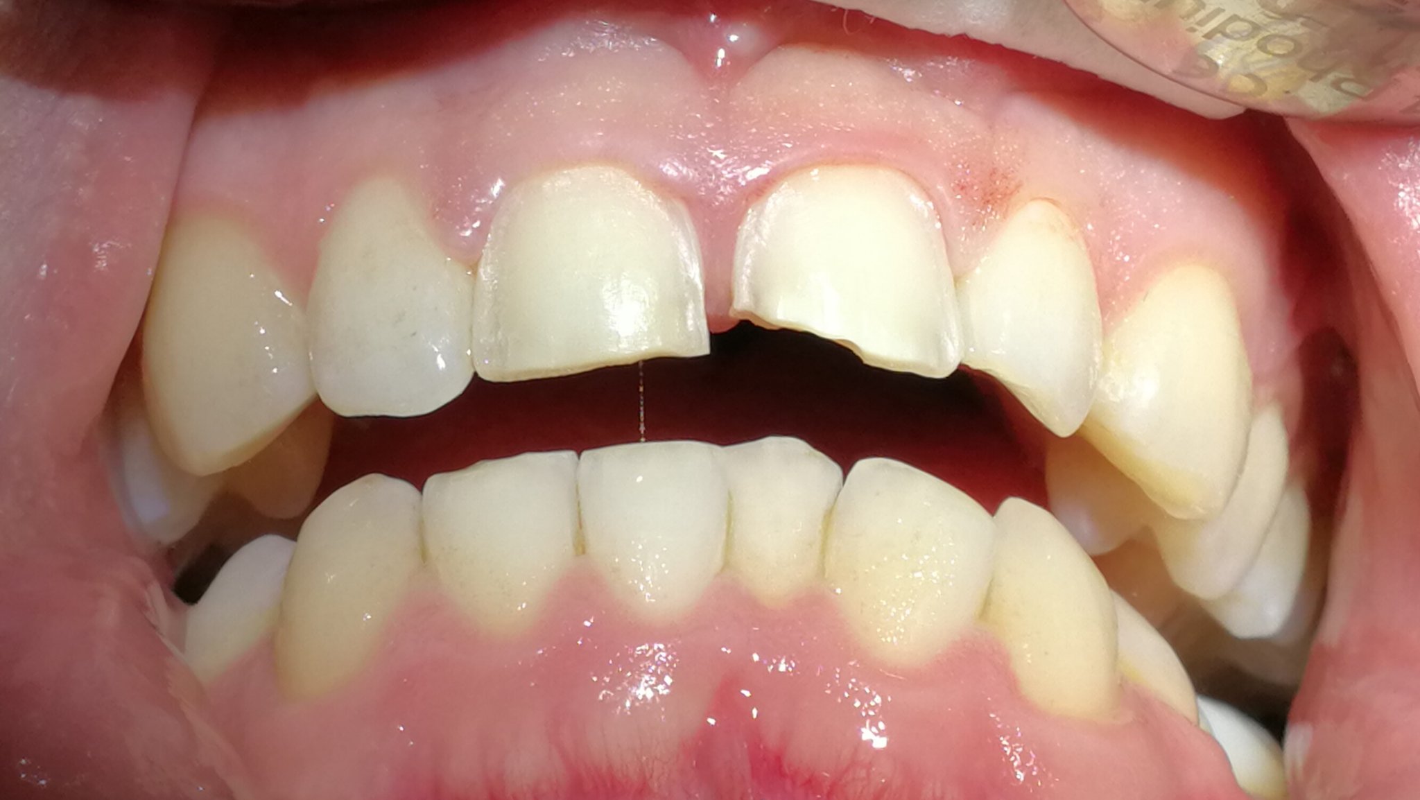
Karies und traumatische Einwirkungen (Zähneknirschen, aus Versehen auf harten Gegenstand beissen und andere Unfälle) können die Zahnhartsubstanz zerstören. Die Reparatur erfolgt in der modernen Zahnmedizin metallfrei, zahnfarben und je nach Grösse des Defektes mit den folgenden Therapiemitteln:
Kompositfüllungen
Kleine Defekte der Zahnhartsubstanz werden mittels einer einfachen Kompositfüllung therapiert (zahnfarbener keramikverstärkter Kunststoff, der im Mund des Patienten
mit Kaltlicht ausgehärtet wird) .
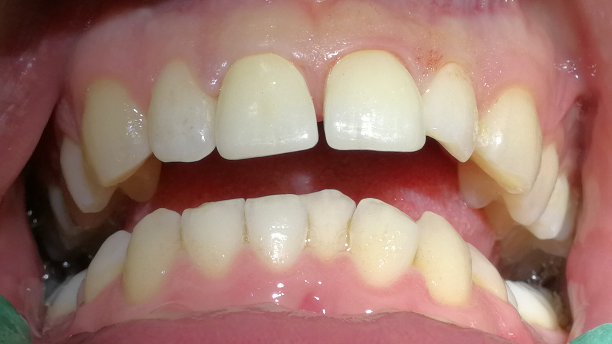
Keramikrestaurationen
Grössere Defekte der Zahnhartsubstanz werden idealerweise in Keramik restauriert. Meist wird das Werkstück von einer Fräsmaschine (CAD; computer-aided
design) aus einem Keramikblock gefräst.
So können grosse Füllungen (Inlay, Onlay, Overlay), Veneers (Verblendschalen) mit höchster Passgenauigkeit und Stabilität hergestellt werden. Nach dem Fräsen wird das Keramikwerkstück mit einem Kompositzement in / auf den Zahn geklebt (einzementiert).
Wurzelbehandlung (Endodontie)
Ist der Defekt so tief, dass der Zahnnerv geschädigt wurde, so muss eine Wurzelbehandlung durchgeführt werden. Diese beinhaltet das saubere Entfernen
der Pulpa (Zahnnerv), die Desinfektion des Nervenkanals und eine bakteriendichte Füllung des Zahnes, um eine spätere Bakterienbesiedlung, welche zum Zahnverlust führen kann, zu verhindern.
Zahnärzte am Grabenring
Dr. med. dent. Pascal P. Schönenberger
Grabenring 1
CH-4123 Allschwil
Tel: +41 (0)61 486 91 91
Telefonzeiten:
08.00 - 12.00 Uhr
13.30 - 17.00 Uhr
| Mo - Do | 08:00 - 12:00 Uhr |
| 13:15 - 18:15 Uhr | |
| Fr - Sa* | 08.00 - 12.00 Uhr |
| 13.15 - 17.15 Uhr |
*diverse Samstage geöffnet;
siehe Google Öffnungszeiten
Do 13:00 -19:00 Uhr